呼吸器の病気
B. 気道閉塞性疾患
びまん性汎細気管支炎
びまんせいはんさいきかんしえん
概要
びまん性汎細気管支炎は、呼吸細気管支と呼ばれる細い気管支を中心に慢性炎症がおこり、多量のたんやせきが出たり、息苦しくなる病気です。1969年に日本から新しい病気として提唱され、今では国際的にも認識されている病気です。
疫学
日本をはじめとする東アジアで多い病気です。主に40~50歳代で発症することが多いですが、若年成人や高齢者にもみられます。
症状
黄色や緑色のたんが多く出ることがあり、1日に100ml以上になる場合もあります。たんと共にせきを認めます。呼吸機能が低下すると、歩行中や坂道、階段で息切れを感じるようになります。症状は、良くなったり悪くなったりを繰り返しながら、長期間にわたり徐々に進行します。また、副鼻腔炎による鼻づまりや鼻水も見られます。
検査・診断
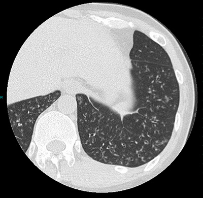
この病気の診断には、肺のCT検査が非常に重要であり、細い気管支に炎症がひろがるため肺に小さい粒のような影がみられます。たんの検査からインフルエンザ菌、肺炎球菌が検出され、進行例では緑膿菌が検出されます。呼吸機能検査では閉塞性障害がみられます。

胸部CT所見:両方の肺に小さい粒のような陰影がみられます。
治療
治療にはマクロライド系という種類の抗菌薬を長期間にわたって使用します。この薬には抗菌作用だけでなく気管支の炎症を抑える効果があり、多くの患者さんで症状が改善します。細菌感染により症状が悪化した場合は、原因となる細菌に対する抗菌薬を用いた治療をおこないます。
予後
かつては進行性の難病とされていましたが、マクロライド系抗菌薬を少量、長期間投与することにより、多くの患者さんで症状の改善と病気の進行抑制が期待できるようになりました。病気が進行すると肺の機能が低下してしまい、在宅酸素療法が必要になるなど、日常生活に大きな支障をきたすことがあるため、早期発見・早期治療が重要です。



