呼吸器の病気
A. 感染性呼吸器疾患
肺寄生虫症
はいきせいちゅうしょう
概要
寄生虫が肺に侵入して発症する疾患の総称です。肺吸虫症、イヌ糸状虫症、糞線虫症、エキノコックス症、トキソカラ症などがあげられます。多くは食べ物の中に潜んでいる寄生虫の卵や幼虫を口から摂取して感染します。肺で成虫になるものの他、幼虫の時期に肺を通過するものなど様々な種類があります。
疫学
生活環境の近代化に伴い、わが国では寄生虫疾患は少なくなっていました。しかし近年、食生活や海外旅行の多様化、発展途上国からの入国者の増加、愛玩動物の増加などから寄生虫症は増加してきています。
発症のメカニズム
比較的多くみられる肺吸虫症(宮崎肺吸虫症とウェステルマン肺吸虫症があります。)の幼虫はサワガニやモクズガニ、イノシシなどに寄生しています。これらを十分加熱せずに食べることで感染します。この他、寄生虫の卵が含まれている動物の糞、それらで汚染された土壌、野菜などから経口的に感染するものもあります。また、感染している蚊などの吸血昆虫から皮膚を介して感染する寄生虫症もあります。感染した寄生虫の卵や幼虫は、各々に成長してヒトの体内を移行し、肺に 病変を作ります。

症状
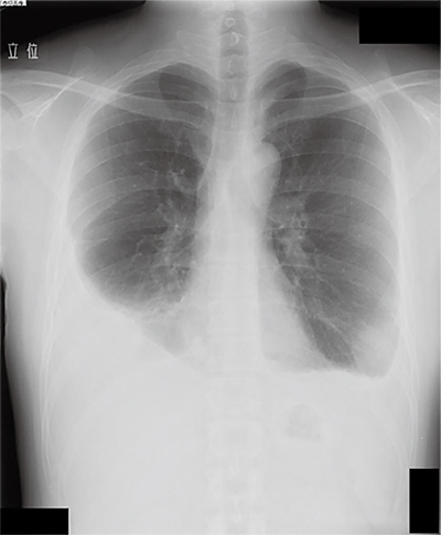
感染した寄生虫によって様々ですが、肺吸虫症では咳、血痰、胸痛などの症状を認めることが多いとされます。血液検査では好酸球増加がよく認められます。胸部エックス線写真では胸水や浸潤影など多彩な異常陰影がみられます。また、イヌ糸状虫症では無症状のことも多く、胸部エックス線写真では腫瘤陰影を認めることが多いとされます。

診断
喀痰、便、気管支ファイバーで採取した検体や、手術で切除した組織内に虫卵や虫体を確認することで診断できます。また、血液検査で寄生虫に対する抗体を検出する場合もあります。
治療
寄生虫の種類に応じた薬物療法を行います。
生活上の注意
サワガニやモクズガニ、イノシシの肉などは十分に加熱して食べることが重要です。また、調理に使用した包丁やまな板は寄生虫に汚染している可能性がありますので、そのまま生野菜などの調理に用いることは感染の原因になります。
予後
早期に診断し、治療が奏効すれば一般に予後は良好です。



